Menu
Skip to content
ABOUT
Sandra Cohen, D.D.S.
Max J. Cohen, D.D.S. P.C.
SERVICES
Invisalign®
Cosmetic
Bleaching
Restorative
Dental Implants
TECHNOLOGY
Kavo DiagnoDent®
i-CAT
Materialise Guided Surgery
Laser
TESTIMONIALS
GALLERY
FORMS
CONTACT
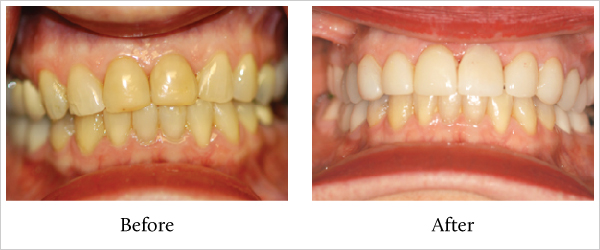
Smile Gallery